Use full screen for better viewing.

Authors

Journal Title

Journal ISSN

Volume Title

Publisher

Abstract

Title

Haemoglobin L in Bombay: Findings in Three Gujrati Speaking Lohana Families

Identifier

MS-029-1-7-2-44

Description

P. K. Sukumaran, L. D. Snaghvi, J. A. M. Ager, H. Lehmann, Haemoglobin L in Bombay: Findings in Three Gujrati Speaking Lohana Families, Acta Genetica Et Statistica Medica, Vol. 9, No. 3, 1959, PUBLIC

Date(s)

1959

Collection

P K Sukumaran Papers

Series

Series 1: Research

Sub-Series

Sub-Series 7: Published work

Conditions Governing Use

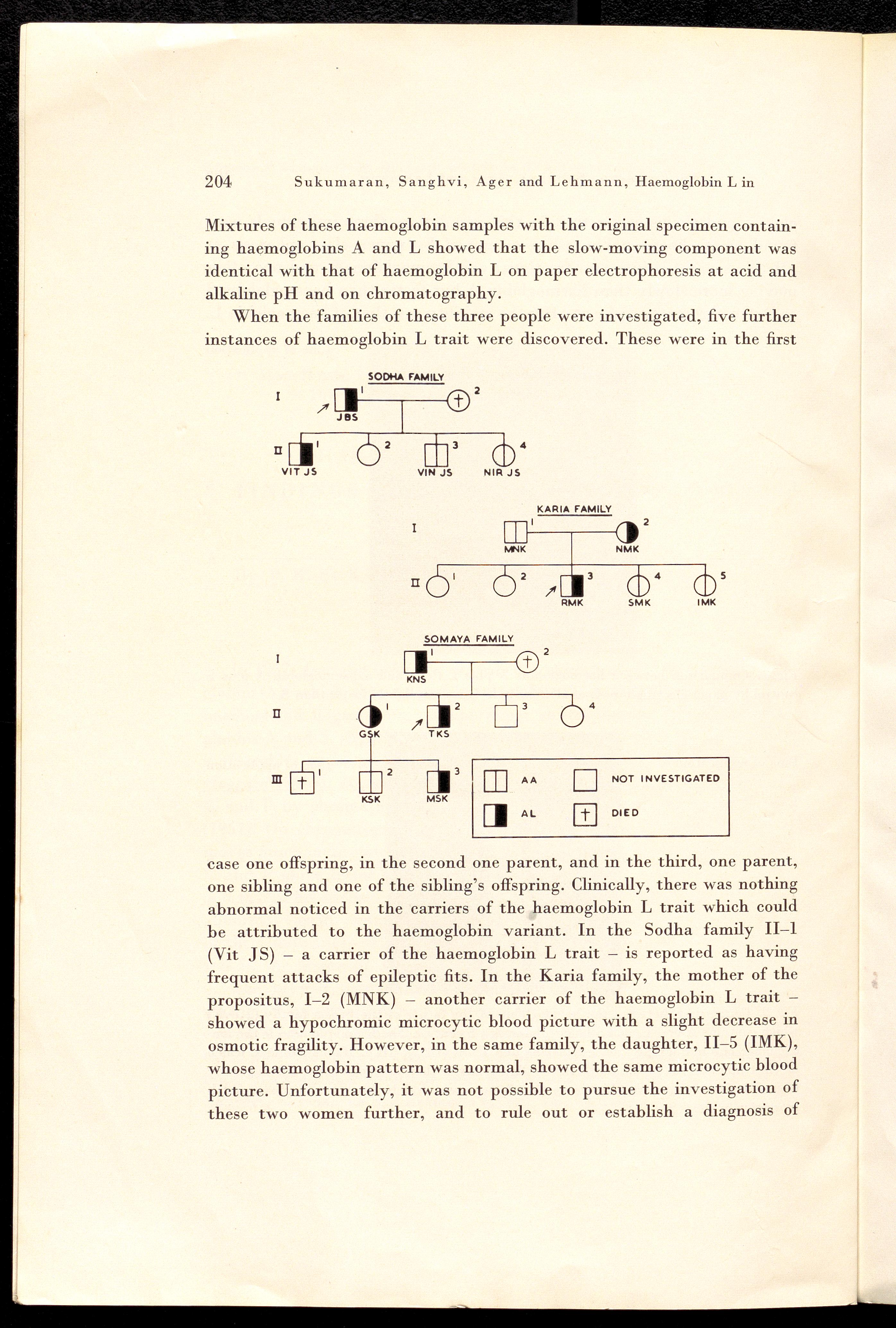
Copyright may not have been assigned to Archives, National Centre for Biological Sciences. The Archives at NCBS makes no representation that it is the copyright owner in all of its collections. The user must obtain all necessary rights and clearances before use of material and material may only be reproduced for academic and non-commercial use. See: https://archives.ncbs.res.in/access. In its capacity as an academic and educational centre, the Archives at NCBS is making digital objects available online for open viewing and research purposes. If you are the rightsholder or a representative of the rightsholder and would like to restrict access to any digital object displayed, please do reach out to us: https://archives.ncbs.res.in/takedown